Gebeliğinizin ilk dönemlerinde yapılan ultrasonlar, bebeğinizin sağlıklı bir şekilde gelişip gelişmediğini anlamak için önemli bilgiler sunar. Bu süreçte en sık kullanılan ölçümlerden biri de “baş-popo uzunluğu” olarak bilinir. Peki, bu ölçüm nedir ve neden bu kadar önemlidir? Gebeliğinizin ilk anlarından itibaren bebeğinizin büyümesini anlamak için baş-popo uzunluğunu öğrenmek size rehberlik edebilir.
Baş-Popo Uzunluğu Nedir?
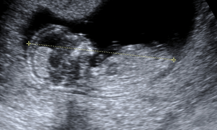
Baş-popo uzunluğu, bebeğinizin başının üst kısmından poposuna kadar olan mesafeyi ifade eder. Genellikle hamileliğin 6. haftasından itibaren yapılan bu ölçüm, 14. haftaya kadar bebeğinizin gelişimini izlemek için kullanılır. Bu dönemde bebek henüz bacaklarını tamamen uzatmadığı için baştan popoya kadar olan mesafe en doğru şekilde bebeğin büyümesini gösterir. Ölçüm, milimetre cinsinden yapılır ve bebeğin yaklaşık kaç haftalık olduğunu hesaplamada önemli bir rol oynar.
Baş-Popo Uzunluğu Ne Zaman Ölçülür?
Gebeliğin ilk üç aylık döneminde yapılan ultrason kontrollerinde baş-popo uzunluğu ölçümü düzenli olarak yapılır. 6-14 hafta arasında, bebeğin boyu ve kilosu hakkında bilgi sahibi olmak için bu yöntem idealdir. Bu ölçüm sayesinde doktorunuz, gebeliğinizin doğru haftada olup olmadığını doğrular ve bebeğinizin gelişiminde herhangi bir sorun olup olmadığını erken dönemde tespit edebilir.
Baş-Popo Uzunluğunun Önemi
Bebeğinizin sağlıklı bir şekilde büyüyüp büyümediğini anlamak için baş-popo uzunluğu ölçümü kritik bir rol oynar. Ayrıca, bu ölçümle gebeliğinizin kaç haftalık olduğu netleşir ve doğum tarihi tahmini yapılır. Özellikle adet döngüsünün düzensiz olduğu durumlarda, bu ölçüm gebeliğin doğru bir şekilde takip edilmesine yardımcı olur.
